Die Augenheilkunde ist ein ungemein vielfältiges Fach. Durch technische Neuerungen gewannen in den letzten Jahren Bildgebende rasant an Bedeutung. Dadurch entstehen zum Teil faszinierende Ansichten des Menschlichen Auges:
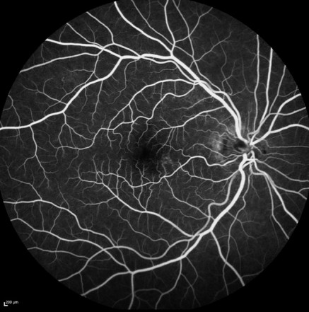
Aufnahmen einer Farbstoffuntersuchung (Angiographie):

Eine regelhafte Netzhautdurchblutung ohne Neugefäßbildungen (Neovaskularisationen) oder nicht durchbluteten Arealen (Ischämie).

Volkskrankheit Diabetes. Netzhautschäden bei Diabetes sind unter anderem die Ausbildung von ischämischen Arealen, die hier mittels Ultraweitwinkel-Angiographie als schwarze = nichtdurchblutete Areale auffällig werden. Zudem sieht man Neovaskularisationen (weißes Areale) und Laserherde nasal oben (links oben im Bild).

Eine weitere Erkrankung bei deren Diagnostik die Flureszeinangiographie hilft ist die anteriore ischämische Optikusneuropathie (AION), die entzündlicher oder arteriosklerotischer Genese sein kann.
|
Netzhaut-Schichtaufnahmen mittels optischer Kohärenz-Tomographie (OCT)

Infrarot-Reflektions- und OCT Bild: Korrelierend können en-face Bilder mit Schichtaufnahmen erstellt werden. Hier ein Schnitt durch die Fovea eines gesunden Auges.

Auch am Auge hinterlässt ein Diabetes häufig Schäden wie ein diabetisches Makulaödem (siehe rechts im OCT Flüssigkeit in der Netzhaut). Glücklicherweise ist dieses Ödem seit wenigen Jahren meist durch anti-VEFG Therapie zu behandeln.
|
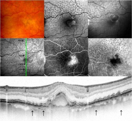
Neuste Mehrspektrum-Bildgebung

Bei lange nicht behandeltem Diabetes zur Ausbildung von Traktionen (=Zug des Glaskörpers an der Netzhaut) kommen. Dies lässt sich besonders gut im Multicolor Modus (Abbildung links oben) darstellen, bei dem es zu einer Übereinanderlagerung von Nahinfrarot (rechts oben), Grün (links unten) und Blaulicht (rechts unten) kommt.

Die häufigste Erblindungsursache in den westlichen Industrieländern lässt sich nur duch kombination verschiedenster Bildgebungsverfahren umfassend darstellen: Altersabhängige Makuladegeneration mit Drusen und Ausbildung von choroidaler Neovaskularisation (siehe Angiographie in der Mitte des Bildes) und Veränderungen im OCT (unten)
|
Die Augenheilkunde als Wegweiser für Systemerkrankungen

Die Christbaumschmuck-Katarakt bietet ein faszinierendes Bild und kann Wegweiser zu seltenen Systemerkrankungen sein: Die myotone Dystrophy Curschmann-Steinert
|